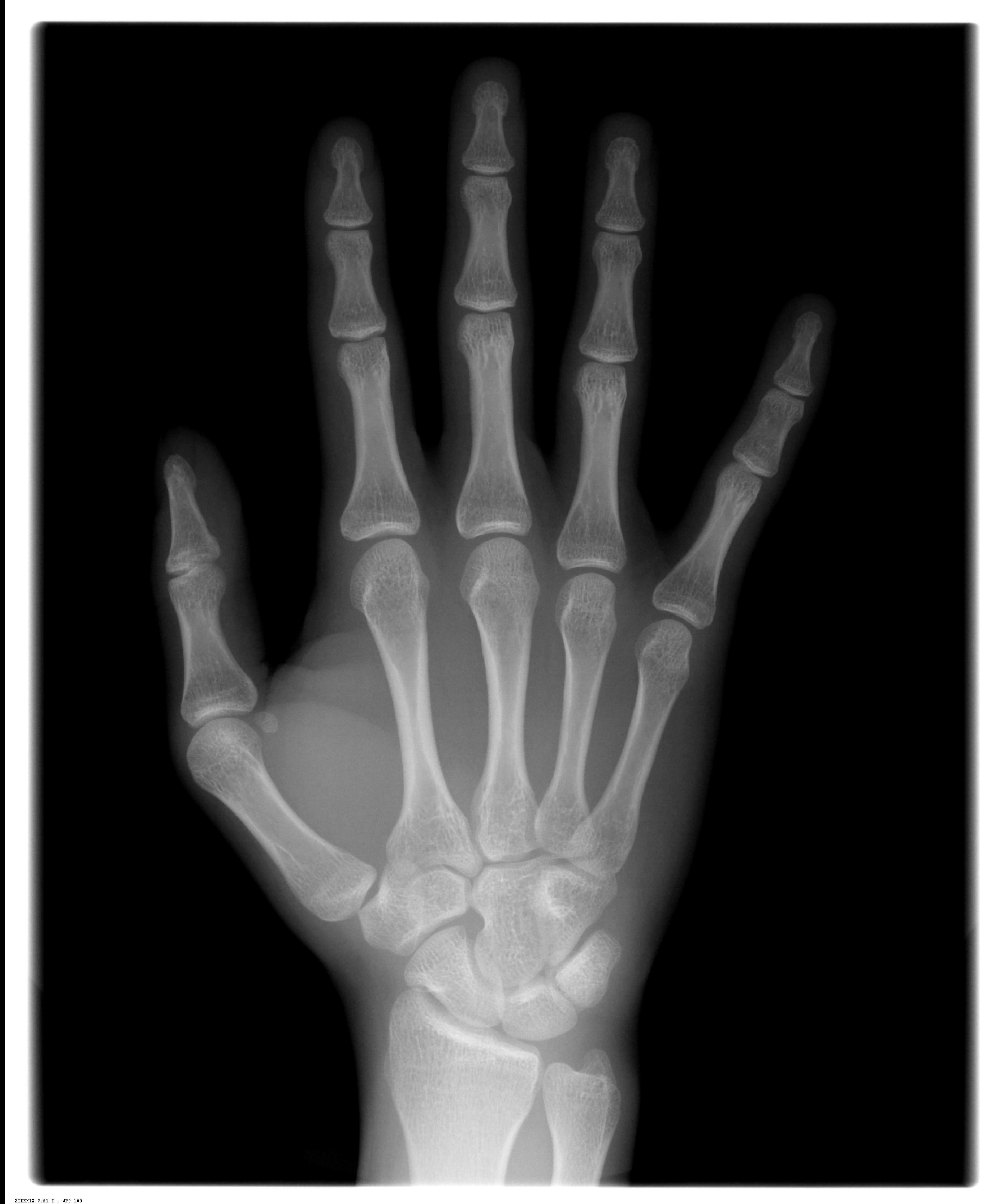
Radiografia Carpal (Mão e punho)

Técnica Radiográfica Extra bucal, executada na região de mão e punho que auxilia o Cirurgião-Dentista a avaliar o crescimento ósseo do paciente com relação à idade cronológica do mesmo.